当前位置: 主页>妇科炎症>盆腔炎>

女性盆腔血管分布实物图

发布时间:2009-06-26 点击:

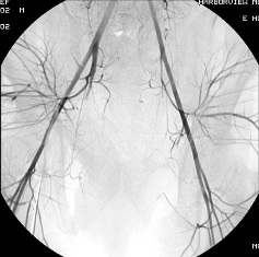
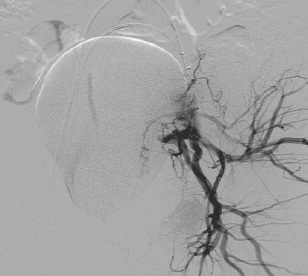
女性盆腔血管实物图

女性盆腔血管分布图

女性盆腔血管实物图

女性盆腔血管分布图

女性盆腔血管分布主要:是膀胱、生殖器官和直肠、是植物神经功能紊乱、事站立工作、子宫后位、长期便秘、早婚早育、孕产频繁的人,以及患有盆腔炎、附件炎、子宫内膜炎等炎症时,静脉血流量增多,盆腔静脉压力增高,影响静脉回流,也容易导致充血。 一般女性在性兴奋时,大量血液涌入盆腔组织,形成充血状态。如果未能达到性高潮,则盆腔充血状态消退很缓慢,会出现下腹坠胀、酸痛等不适。

上一篇:女性盆腔器官(前面上观)     下一篇:女性骨盆(左旁正中矢状断面)

随机阅读

热点文章


友情链接: 网易 四川现代医院 中国网 四川网
Copyright2003 健康多一点
ICP备案号:蜀ICP备2024098594号