
乳腺纤维瘤X光
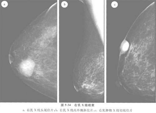
乳腺纤维腺瘤的肿块好发于乳房的外上象限。腺瘤常为单发,亦有多发者。腺瘤呈圆形或卵圆形,直径以1~3cm者较为多见,亦有更小或更大者,偶可见巨大者。表面光滑,质地坚韧,边界清楚,与皮肤和周围组织无粘连,活动度大,触之有滑动感。腋下淋巴结无肿大。腺瘤多无痛感,亦无触痛。其大小性状一般不随月经周期而变化。肿块通常生长缓慢,可以数年无变化,但在妊娠哺乳期可迅速增大,个别的可于此时发生肉瘤变。

乳腺纤维瘤X光
乳腺纤维腺瘤的肿块好发于乳房的外上象限。腺瘤常为单发,亦有多发者。腺瘤呈圆形或卵圆形,直径以1~3cm者较为多见,亦有更小或更大者,偶可见巨大者。表面光滑,质地坚韧,边界清楚,与皮肤和周围组织无粘连,活动度大,触之有滑动感。腋下淋巴结无肿大。腺瘤多无痛感,亦无触痛。其大小性状一般不随月经周期而变化。肿块通常生长缓慢,可以数年无变化,但在妊娠哺乳期可迅速增大,个别的可于此时发生肉瘤变。