当前位置: 主页>生殖感染>梅毒>

女性梅毒症状图片大全

发布时间:2012-12-09 点击:
女性梅毒症状图片大全

 女性梅毒症状图片大全一

女性梅毒症状图片大全 

女性梅毒症状图片大全二 

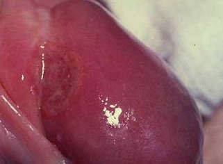
女性梅毒症状图片大全

女性梅毒症状图片大全三

上一篇:梅毒疹会皮肤出血的症状吗?     下一篇:女性梅毒用什么药治疗?

随机阅读

热点文章


友情链接: 网易 四川现代医院 中国网 四川网
Copyright2003 健康多一点
ICP备案号:蜀ICP备2024098594号